برچسبها: نانوربات ریشه دندان دندانپزشكي
- اسلاید
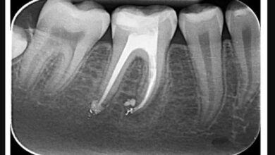
نانو رباتهایی که ریشه دندان را درمان میکنند
پژوهشگران “مؤسسه علوم هند” در بررسی جدیدی، از نانورباتها برای درمان کانال ریشه دندان استفاده کردهاند. به گزارش بارز نیوز…
بیشتر بخوانید »
پژوهشگران “مؤسسه علوم هند” در بررسی جدیدی، از نانورباتها برای درمان کانال ریشه دندان استفاده کردهاند. به گزارش بارز نیوز…
بیشتر بخوانید »